Hình Ảnh Mụn Rộp Sinh Dục Ở Nam Và Cách Chữa Hiệu Quả
Mụn rộp sinh dục ở nam giới thường có những biểu hiện đặc trưng dễ nhận biết qua hình ảnh. Tuy nhiên, các triệu chứng có thể khác nhau ở mỗi người, tùy vào mức độ và giai đoạn bệnh. Để hiểu rõ hơn về hình ảnh mụn rộp sinh dục nam, dấu hiệu nhận biết và cách điều trị hiệu quả, mời bạn cùng tìm hiểu chi tiết trong bài viết dưới đây.
MỤN RỘP SINH DỤC Ở NAM GIỚI LÀ THẾ NÀO?
Mụn rộp sinh dục là căn bệnh nhiễm trùng lây qua đường tình dục do virus Herpes Simplex (HSV) gây nên tại các bộ phận như cơ quan sinh dục, hậu môn, miệng, môi hoặc trên da ở cả nam và nữ giới. Loại virus này có hình dáng giống như những khối đa diện, có tốc độ lây lan rất cao.
Bệnh mụn rộp sinh dục ở nam giới chủ yếu lây truyền thông qua các con đường dưới đây:
❌Hoạt động tình dục không an toàn, bao gồm cả đường sinh dục, hậu môn và đường miệng là nguyên nhân gây bệnh mụn rộp sinh dục ở nam giới chủ yếu.
❌HSV cũng có thể thâm nhập vào cơ thể thông qua việc tiếp xúc trực tiếp giữa vết thương của người lành và vết thương hở của người bệnh.
❌Dùng chung đồ dùng cá nhân của người bệnh như quần lót, khăn tắm hoặc cùng sử dụng một bồn cầu, bồn tắm,… cũng có nguy cơ nhiễm bệnh.
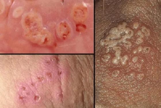
NHẬN BIẾT HÌNH ẢNH MỤN RỘP SINH DỤC Ở NAM
Hình ảnh mụn rộp sinh dục ở nam
Mụn rộp sinh dục ở nam giới
Bạn có triệu chứng vùng kín? Đặt lịch khám bác sĩ ngay
TRIỆU CHỨNG BỆNH MỤN RỘP SINH DỤC Ở NAM GIỚI NHƯ THẾ NÀO?
Sau 2 - 20 ngày nhiễm virus HSV, người bệnh bắt đầu thấy xuất hiện các triệu chứng dưới đây:
Nổi mụn nước nhỏ li ti ở bao quy đầu, xung quanh có mủ màu trắng hoặc vàng. Ban đầu, mụn nước xuất hiện riêng lẻ, sau đó sẽ mọc thành từng nhóm nhỏ, giống như chùm nho.
Nếu không được kiểm soát và điều trị kịp thời, chúng sẽ vỡ ra, gây viêm loét và lây lan ra khắp bộ phận sinh dục và lan uống hai bên háng.
Cần lưu ý rằng, sau khi vỡ ra, mụn sẽ đóng vảy và tự khỏi sau vài ngày. Tuy nhiên, virus HSV vẫn còn tồn tại trong cơ thể nên khả năng bệnh tái phát là rất cao.
TÁC HẠI CỦA MỤN RỘP SINH DỤC ĐỐI VỚI SỨC KHỎE NAM GIỚI
Khi nhiễm phải HSV, gây bệnh mụn rộp sinh dục ở nam giới, người bệnh có thể gặp phải các vấn đề như:
– 1. Ảnh hưởng tiêu cực tới tâm lý: Mức độ nghiêm trọng mà mụn rộp sinh dục gây ra cao hơn hẳn bởi bệnh thường gây ra triệu chứng ở những khu vực nhạy cảm như vùng sinh dục, miệng họng hoặc hậu môn nên người bệnh e ngại và tự ti.
– 2. Ảnh hưởng tới sinh hoạt: Sự xuất hiện của các mụn rộp lớn sau đó vỡ gây ra các vết loét đau đớn khiến người bệnh sinh hoạt gặp khó khăn.
– 3. Ảnh hưởng tới khả năng tình dục, chức năng sinh sản: Những đau đớn trong hoạt động tình dục là khó tránh khỏi khi bị mụn rộp sinh dục. Nếu không điều trị, bệnh gây ảnh hưởng tới chức năng sinh sản.
– 4. Những biến chứng nguy hiểm: Khả năng miễn dịch suy yếu do sự xâm nhập, phát triển của HSV là nguyên nhân khiến các tác nhân gây hại có cơ hội tấn công cơ thể.
PHƯƠNG PHÁP ĐIỀU TRỊ MỤN RỘP HIỆU QUẢ, KHÔNG BIẾN CHỨNG
Mụn rộp sinh dục không khó để điều trị. Chỉ cần người bệnh tuân thủ theo đúng 4 nguyên tắc cơ bản sau:
Điều trị ngay khi bệnh mới khởi phát, ở giai đoạn đầu
Điều trị đúng theo phác đồ điều trị
Kết hợp điều trị cùng bạn tình
Thực hiện lối sống sinh hoạt lành mạnh
Trong đó, hiện nay Liệu pháp miễn dịch gene sinh học INT chữa mụn rộp sinh dục đang được đánh giá rất cao. Nguyên lý hoạt động của liệu pháp này đó là làm cho nhân tử đặc hiệu xâm nhập nhanh vào bên trong dây thần kinh và các vị trí vùng bệnh, nơi tiềm ẩn virut, giúp tách biệt virut ra khỏi tổ chức cơ thể.
Sau một thời gian ngắn sẽ vừa có thể loại bỏ được các triệu chứng trên bề mặt vừa bài trừ virut. Loại bỏ hiệu quả mầm mống bệnh, giúp bề mặt da trơn nhẵn.
Ưu điểm của Liệu pháp miễn dịch gene sinh học INT:
Hiệu quả cao, tiêu diệt được virus HSV và loại bỏ triệu chứng bệnh.
Nâng cao khả năng miễn dịch, ngừa bệnh tái lại.
An toàn, không đau, không để lại sẹo.
Hồi phục nhanh.
[Đặt lịch để được thăm khám ngay với bác sĩ]
ĐỊA CHỈ ĐIỀU TRỊ BỆNH MỤN RỘP SINH DỤC Ở NAM GIỚI UY TÍN
Một trong những địa chỉ được nhiều người tin tưởng lựa chọn là Phòng khám Đa khoa Bình Dương – cơ sở y tế uy tín, chuyên điều trị các bệnh xã hội, trong đó có mụn rộp sinh dục.
Hệ thống cơ sở vật chất đầy đủ các trang thiết bị y tế hiện đại, khang trang, sạch sẽ giúp quá trình chuẩn đoán bệnh được thuận lợi.
Đội ngũ y bác sĩ giỏi chuyên môn, dày dặn kinh nghiệm giúp điều trị chính xác tình trạng bệnh và không bỏ sót.
Chất lượng dịch vụ tốt, nhân viên hướng dẫn nhiệt tình, tạo sự thoải mái và an tâm.
Chi phí điều trị bệnh hợp lý và tuân thủ theo đúng quy định của Sở Y tế và được công khai rõ ràng với người bệnh trước khi khám bệnh.
Thông tin cá nhân của người bệnh được phòng khám bảo mật an toàn, bảo vệ sự riêng tư cho bệnh nhân.
HOT: Hiện nay, Phòng khám Đa khoa Bình Dương đang triển khai nhiều ưu đãi khám và điều trị mụn rộp. Chỉ cần người bệnh đăng ký đặt lịch trước với bác sĩ qua số Hotline sẽ được hỗ trợ giảm phí điều trị, nhận được mã ưu tiên khám ngay mà không cần xếp hàng.
Trên đây là những thông tin hình ảnh mụn rộp sinh dục ở nam. Muốn ngăn các biến chứng cần phải tiến hành điều trị càng sớm càng tốt tại cơ sở chuyên khoa uy tín. Nếu còn những băn khoăn liên quan nào, bạn có thể gọi tới Hotline 0933.833.115 để được các chuyên gia chia sẻ đầy đủ và chi tiết hơn.
Gói khám nam khoa
- 1 Bệnh nhân 1 bác sĩ
- Thông tin bảo mật
Khám sinh lý nam giới
- Bác sĩ chuyên môn cao
- Trang thiết bị đạt chuẩn bộ Y tế
Gói khám bệnh xã hội
- Tận tâm, nhiệt tình
- Chăm sóc chu đáo
Ưu đãi giảm
- Phí điều trị
PHÒNG KHÁM ĐẠT CHUẨN BỘ Y TẾ
quy trình thăm khám









0933.833.115
Đặt lịch
Tư vấn
Zalo